Invisalign
What is Invisalign?
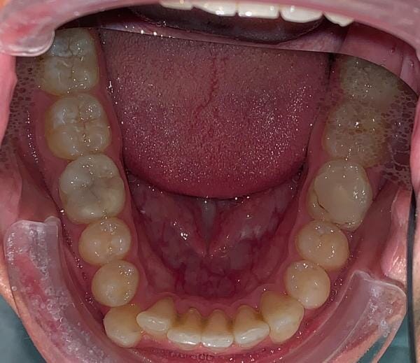
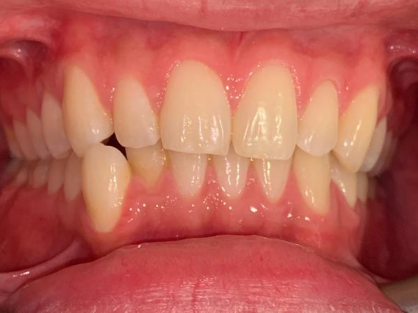
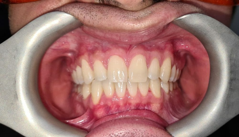
Invisalign is an invisible brace system, which is able to transform your smile with a series of removable clear aligners that gradually straighten your teeth.
Where can I get Invisalign in London?
Our highly experienced and professional team will help you to achieve the results you want, in the shortest possible time frame. Visit our London Invisalign Clinics based in Balham, Fulham and Swiss Cottage for a free consultation.
How does Invisalign work?
Invisalign braces are a series of custom made aligners which straighten your teeth. You’ll change your aligners every 7-14 days and each aligner is 3D printed from your iTero simulation to give you the best results. Each week your aligners will gently move your teeth to transform your smile.
iTero 3D scans allow our specialists to design your smile to your specification. As part of your initial assessment, you’ll receive a complimentary 3D simulation. Your scan will allow you to instantly visualise your smile transformation with a preview prior to the start of your treatment.
How long does Invisalign take?
Invisalign provides a fast and effective solution to teeth straightening, and your new smile could start to take shape within your first few weeks of treatment. Depending on your unique case, the total treatment time could range from 3 to 18 months. For a personalised assessment visit us for a free consultation with a private dentist.
Invisalign cost
Our private dentists in London offer a range of solutions suited to both teens and adults. The cost of your custom made Invisalign solution will vary depending on the complexity of your case.
You can find out how many aligners you will need with a free consultation and 3D simulation.
Join one of our membership plans to take advantage of a 20% discount on dental treatments. Excludes implants, orthodontics and specialist treatments. Ts and Cs apply.
Invisalign® Express
Both arches:
£2,900
£1900
from £29*/month
£1,900
save £1000
All inclusive treatment
Dentist-led treatment
Regular follow up appointments
HomeTeeth whitening
Essix removable retainer
Teeth Contouring
Ts and Cs apply
Ideal for minor corrections of
1-2 front teeth only
Up to 7 aligners
Treatment time: 2-3 months
Invisalign® Lite
Both arches:
£3,800
£2800
from £52*/month
£2,800
save £1000
All inclusive treatment
Dentist-led treatment
Regular follow up appointments
HomeTeeth whitening
Essix removable retainer
Teeth Contouring
Ts and Cs apply
Ideal for mild corrections of
multiple front and back teeth
Up to 14 aligners
Treatment time: 4-6 months
Invisalign® Moderate
Both arches:
£4,300
£3300
from £33*/month
£3,300
save £1000
All inclusive treatment
Dentist-led treatment
Regular follow up appointments
HomeTeeth whitening
Essix removable retainer
Teeth Contouring
Ts and Cs apply
Ideal for moderate corrections of
multiple front and back teeth
Up to 20 aligners
Treatment time: 6-9 months
Invisalign® Comprehensive
Both arches:
£4,500
£3500
from £73*/month
£3,500
save £1000
All inclusive treatment
Dentist-led treatment
Regular follow up appointments
HomeTeeth whitening
Essix removable retainer
Teeth Contouring
Ts and Cs apply
Ideal for complex and extensive corrections
of multiple front and back teeth
Up to 40 aligners
Treatment time: 9-14 months
Invisalign reviews
Meet the dental team
If you are looking for quality, trusted healthcare that’s personal to you, enjoy flexible access to medical and dental care when you need it with a MyMembership plan.
We make it faster, easier and more enjoyable to access the healthcare you need, whoever you are.
Unlimited access to same-day GP and dental services.
Invisalign FAQs
*Book your free consultation now!
*Free consultation requires a £25 refundable deposit to secure the booking. This deposit can be refunded at the appointment or for any cancellation which provides at least 24 hours notice. The free consultation is only valid for an initial consultation. Subsequent Invisalign consultations are chargeable unless they are covered under your treatment plan or membership. Monthly prices based on a deposit of £500 for Invisalign and the remaining spread over 60 months at 9.9% APR. MyHealthcare Clinic Limited is authorised and regulated by the Financial Conduct Authority FRN 723852.









